80岁老人高血压脑出血脑疝还有救吗?

高血压脑出血在我国中老年人群甚至年轻人中的发病率呈升高趋势。高血压作为发病率较高的一种慢性疾病,容易导致心、脑、肾等重要器官受损,进而出现并发症,其中高血压脑出血(HICH)是一种高发于中老年人的常见并发症,具有较高的病死率和致残率,也是致使患者死亡的重要因素之一。治疗高血压脑出血分为外科治疗和内科治疗。
内科治疗方法
HICH 患者的内科治疗,只有在具有临床适应证的情况下才可以进行,具体为患者具有清醒的意识,脑血肿直径小于3 cm,大脑半球血肿量小于30 mL,小脑出血<10ml,符合上述指证的患者可以采取内科保守治疗。

脑出血好发部位
外科治疗方法
如果患者无内科治疗的适应证,或是内科治疗效果不佳,可以选择外科治疗方法,通过外科手术能够迅速清理患者的颅内血肿,不但可以有效改善大脑出现的局部缺血情况,而且还可以减轻脑损伤,提升患者的预后、生存率及生活质量。外科治疗包括开颅清除血肿+去除骨瓣,或者小骨窗开颅清除血肿,或者内镜下清除血肿,或者血肿钻孔引流术等。无论何种手术,目的都在于尽早清除血肿,有利于脑组织导致功能恢复,减轻继发性损伤。
临床上经常会遇到一些高龄的高血压脑出血患者,出血量比较大,遇到此类患者时该怎么办,其实很多家属会这样想:“手术后如果成为植入人,还不如不做”。“如果术后偏瘫,生活不能吃自理,又花了很多钱,还不如不做。”
在这里,我想告诉他们的是,脑出血一旦有手术指证,排除手术禁忌的话,应该尽早手术,如果不手术将可能有生命危险,而且预后较差。脑出血,首先先救命,治愈后期能恢复到什么程度,有一部分人会偏瘫,但大部分是可以苏醒的,如果坚持治疗及康复,有可能生活自理,但是如果过早放弃,不仅仅是放弃了一条生命,那后续的其他治疗就无从谈起了。
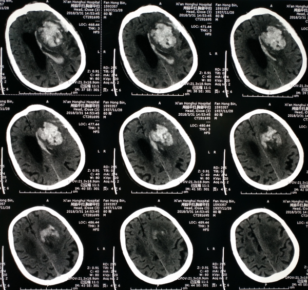
这里看一个80岁高血压脑出血的老人,他经历了什么?


80岁老人突发昏迷伴右侧肢体偏瘫2小时入院。头部CT提示左侧基底节出血破入脑室,出血量约80毫升。
面对深昏迷的老人,到底要不要救?要救的话,要不要手术?
80毫升的出血量是必须要手术的,如果不做,必然生命不保。但是,做了,会成为怎样?会不会成为植物人?
我告诉家属:不手术,生命很难保住。手术先救命,只要命救回来,我尽早给他做促醒治疗,还是有希望醒的,只是偏瘫而已,你们家属慎重考虑一下。
最终家属决定手术了。
术后精心管理病人,病情一直比较平稳。术后20天复查头部CT见颅内积血完全吸收,给予促醒治疗,术后50天病人清醒。
家属高兴,我也很高兴,又救回来一条命。
面对脑出血,我想告诉大家,只要有手术指证,排除手术禁忌,应尽早积极手术治疗,手术不仅可以救命,还可以减轻术后残疾等并发症发生率。术后尽早促醒及康复治疗,有利于神经功能恢复。
西安市红会医院 “神经外科赵东升”主任
门诊时间:每周二 上午8:30—12:00 下午14:30—17:30
如果错过门诊时间,可到门诊十楼神经外科病房找赵主任咨询
擅长:昏迷促醒,脑外伤,脑出血,脑梗死,脑积水,脑膜瘤,胶质瘤,脑转移瘤等颅内肿瘤,脊髓肿瘤,脊髓损伤瘫痪,小脑扁桃体下疝,脊髓空洞,寰枕畸形,脊髓栓系,大小便失禁,癫痫,神经性疼痛等
如果觉得有用,欢迎转载转发朋友圈!