脑干出血虽然很危险,但还是有希望救活的
脑干出血是神经系统急重症,是脑出血中最危险也是最严重的一种,病死率极高。
在百度上搜索脑干出血,出来的结果是这样的:脑干出血量在3ml以下的,死亡率70%左右。脑干出血量在5ml以上,死亡率90%左右。其中脑干出血量超过10ml以上的死亡率接近100%。
众所周知 ,脑干是管理调节体温、呼吸、心跳、血压等生命体征的中枢 ,脑干出血可在短时间内引起呼吸、心跳停止 ,死亡率极高。全国治疗手段基本相同;立即入ICU抢救,吸氧,持续点呼吸兴奋剂,甚至上呼吸机辅助呼吸;止血;甘露醇加甘油果糖降颅压 。因为脑干是大脑的司令部,它受损伤, 在治疗过程中很可能会出现各种生命体征紊乱,医生只能根据症状临时下药。那么脑干出血是否就没救了呢?其实不然,请看下面几个病例。
病例一:
患者女性,54岁,距离过年只有一周了,突然瘫痪、失语、神志不清,经检查提示脑干出血,转入我科。
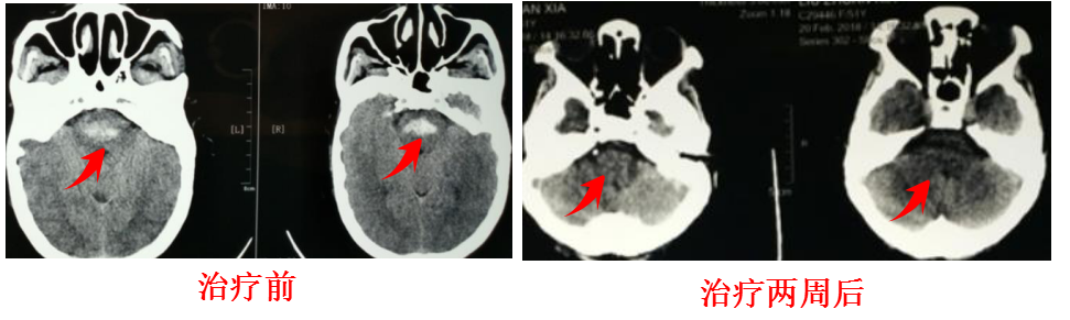
入院后患者神志昏迷,呼吸微弱,立即给予气管插管,并第二天气管切开呼吸机辅助呼吸,使用营养神经、脱水减轻水肿、抑酸护胃、清除氧自由基、控制血压血糖平稳并积极预防并发症等对症处理,两周后复查头部CT见脑干出血完全吸收,此时患者已经清醒,完全脱离了呼吸机,一月后出院康复。


两月后生活完全自理。
有人可能说上面的病人治愈是侥幸,因为出血量少,那么再看看下面这个病例。
病例二:
患者男性35岁,突发意识障碍3小时入院,入院时查头部CT提示脑干出血,出血量约6ml,神志昏迷,左侧肢体肌力0级,右侧肢体刺痛仅有轻度回缩,呼吸微弱,立即给予气管插管,呼吸机辅助呼吸,第三天给予气管切开,并使用营养神经、脱水减轻水肿、抑酸护胃、清除氧自由基、控制血压血糖平稳、积极降温防止高热加重脑损伤,再此期间患者出现肺部感染,我们使用经颅磁刺激,不仅可以帮助患者苏醒,而且可以辅助治疗肺部感染、因脑干出血昏迷引起的腹胀、大小便失禁等,一周后患者脱离呼吸机,三周后患者苏醒,一月后四肢可遵嘱活动,肺部感染治愈,大小便可以自解。

一月后患者可遵嘱活动四肢。
如果觉得这个脑干出血出血量还少,那再看看下面这例脑干出血。
病例三:
患者男性,30岁,晚上饮酒凌晨一点回家,第二天早晨上厕所时摔倒在地昏迷不醒,紧急送往医院,查头部CT提示脑干出血11毫升,呼吸困难,频繁呕吐,出现窒息症状,神志昏迷,左侧肢体肌力0级,右侧肢体刺痛过伸。立即给予气管插管呼吸机辅助呼吸,插胃管胃肠减压。曾告知家属手术的必要性和风险,家属因担心手术风险拒绝手术,遂继续保守治疗。
第三天给予气管切开继续呼吸机辅助呼吸,辅助吸痰,并使用营养神经、脱水减轻水肿、抑酸护胃、清除氧自由基、控制血压血糖平稳、积极降温防止高热,该患者因合并吸入性肺炎,治疗比较棘手,但通过合理使用抗生素以及早期使用经颅磁刺激后,一周后患者也顺利脱离呼吸机,3周后苏醒,一月后可遵嘱活动肢体,肺部感染治愈,随后顺利出院康复。
在这几例脑干出血的治疗中大家会发现都使用了气管插管、气管切开、呼吸机辅助呼吸。在治疗脑干出血过程中,保持呼吸道通畅,维持有效的氧饱和度是治疗关键,不要怕气管插管、气管切开可能带来的风险,这两个措施是治病的关键,需尽早进行,如果医生给你谈需要气管插管、气管切开,建议尽早实施,这是一种救治手段,即使有风险也应该冒。
高血压动脉硬化是脑干出血的主要病因,脑干出血多由高血压导致基底动脉中央支破裂引起。往往在数秒到数分钟内引起昏迷,可立刻昏迷、四肢瘫、针尖样瞳孔,数小时内死亡;水平眼球运动受累而垂直眼球运动佳,有的病例可以出现眼球上下跳动。对侧眼球出现5秒间隔的游动。病又往往出现四肢瘫,去大脑强直。有时可以出现中枢性高热、呼吸异常。出血可破入四脑室,血肿向腹侧扩展,导致居中的固定瞳孔,小的基底部出血可引起"闭锁综合征";未累及上行网状激活系统的小出血常常没有严重神经功能缺失,症状轻微,预后良好。
脑干出血是高血压脑出血中的一种,重在预防。积极有效的预防高血压、高血脂、高血糖,加强锻炼积极减肥,避免酗酒,避免熬夜。
之所以在百度上看见脑干出血死亡率极高,可能这个数据是比较早的数据,随着医学的不断进步,其实脑干出血的死亡率在逐渐下降,特别是临床医生和患者家属要了解这个病,虽然来势汹汹,刚开始可能没有了 呼吸,但是只要呼吸机能维持氧饱和度平稳,只要维持心跳平稳,等待两周后,大部分没有呼吸的病人会逐渐恢复自主呼吸,所以,在前两周时建议不要轻易放弃,因为你放弃了,这个病人肯定就没有希望了,不妨先治疗两周看看,如果越来越重,那时候再说放弃的话不迟。每个疾病都有一个发生发展的过程,有些病虽然来势凶猛,但经过有效的治疗,很多病人是可以救回来的。
西安市红会医院功能“神经外科赵东升主任”
门诊时间:每周二 上午8:00—12:00 下午14:00—17:00
如果错过门诊时间,可到门诊十楼神经外科病房找我咨询
擅长:昏迷促醒,脑外伤,脑出血,脑梗死,脑积水,脑膜瘤,胶质瘤,脑转移瘤等颅内肿瘤,脊髓肿瘤,脊髓损伤,小脑扁桃体下疝,脊髓空洞,寰枕畸形,脊髓栓系,大小便失禁,癫痫,三叉神经痛、面肌痉挛,神经性疼痛,慢性病调理等.