早孕超声三大征象

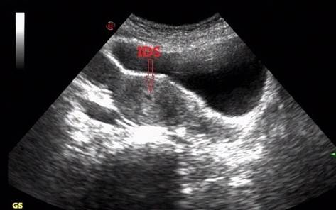
一、蜕膜内征:intradecidual sign

一,蜕膜内征intradecidual sign

增大的子宫内膜呈不对称肥厚并回声增强。用阴道超声扫查,可见宫腔线一侧较厚的内膜内,有一圆形增强回声区,中央有小囊状液性暗区,宫腔线局部突起变形称蜕膜内征。停经29天的早期妊娠囊直径1~2mm。

 

 

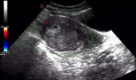
二、双蜕膜征(亦称双环征double-ring sign)

 

为宫内孕囊与相邻子宫蜕膜结构的断面图像,属于宫内早期妊娠的重要征象。可以用于和异位妊娠的单蜕膜征(单囊征)或假孕囊(pseudo-sac)的鉴别。早孕合并出血时,此征更显著(呈"C"形无回声区),通常预后良好。

 

 

也有人这么说:

 

双环征是指着床过程中发生少量出血,致使子宫包膜与壁蜕膜分离。它在早孕超声鉴别诊断中具有很重要价值。

双环征妊娠5~8周,妊娠囊周围的高回声绒毛形成内环,外周有一低回声的外环,称双环征。外环可能是包蜕膜与真蜕膜之间的暗区,也有认为外环是由低回声的蜕膜形成,约60%妊娠有此征象。

彩超显示暗区内有血流信号,四周呈放射状排列,原始胎盘区彩色血流显示极为丰富,脉冲多普勒在暗区内采样,可以获得静脉性频谱(流速约为0.02~0.05m/s)及动脉性频谱,舒张期成分非常丰富,阻力指数(RI)在0.45左右。双环征暗区内的血流称为滋养层周围血流(peritrophoblasticf)0w)。双环征的暗区内血流反映了子宫螺旋动脉向着床部位供应血液,满足妊娠囊生长发育所需,血池为胎盘循环的前身。滋养层周围血流的存在对早期妊娠至关重要,为判断早期妊娠是否良好提供重要的依据。妊娠10周后双环征消失。

 

 

还有人这么定义双环:

 

妊娠囊超声表现中央为暗区(绒毛腔),暗区周边为一完整的、厚度均匀的强回声,这一强回声壁由正在发育的绒毛与邻近的蜕膜组成。随着妊娠囊的增大,它对子宫腔的压迫越来越明显,形成特征性的“双绒毛环征”(Doubledecidual sac sign)或“双环征”。

 

三、双泡征

 

这里说的双泡征是指早孕的,而不是中晚孕看的十二指肠闭锁的双泡征。内细胞团分裂、分化形成充满液体的羊膜囊、卵黄囊以及胚盘,组成了复合体回声(双泡征)由于囊胚及羊膜腔的快速发育。“双泡征”仅为一过性表现,孕7周后不再出现。

 

 

简单说:就是妊娠囊里出现了两个泡状结构。一个是卵黄囊,一个是羊膜囊。